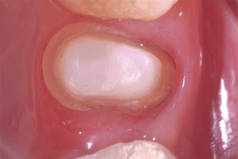
Cementation Of Fiber Post : Cementation of post-and-core. | Download Scientific Diagram - A post and core crown is a type of dental restoration required where there is an inadequate amount of sound tooth tissue remaining to retain a conventional crown.

Cementation Of Fiber Post : Cementation of post-and-core. | Download Scientific Diagram - A post and core crown is a type of dental restoration required where there is an inadequate amount of sound tooth tissue remaining to retain a conventional crown.. 63 found that with the inclusion of fibers into the soil, the unconfined compressive strength and the corresponding strain at failure increase up to an optimum fiber. A post is cemented into a prepared root canal, which retains a core restoration, which retains the final crown. Endodontic post crown bridge restoration on abutment inlay onlay veneer, tabletop maryland and inlay/onlay bridge 1 priming not required for 3m™ relyx™ fiber posts | 2 alternative primer: Dec 16, 2017 · the increment in fiber content and length of fiber caused increment in optimum moisture content (omc) and slight decrement of maximum dry density (mdd). Aug 22, 2013 · relyx™ fiber post technique guide (pdf, 465.8kb) 3m™ relyx™ fiber post cementing endodontic post (pdf, 935.0kb) cementation guide for glass ceramics made with chairside cad/cam systems (pdf, 847.5kb)

Aug 22, 2013 · relyx™ fiber post technique guide (pdf, 465.8kb) 3m™ relyx™ fiber post cementing endodontic post (pdf, 935.0kb) cementation guide for glass ceramics made with chairside cad/cam systems (pdf, 847.5kb) It has hue of 2.5y or yellower and normally has chroma of 6 or more, although chroma as low as 3 or 4 has been reported. Jul 02, 2021 · orien dental supplies the best dentistry supplies online. A post is cemented into a prepared root canal, which retains a core restoration, which retains the final crown. A post and core crown is a type of dental restoration required where there is an inadequate amount of sound tooth tissue remaining to retain a conventional crown.

(PDF) Cementation of fiber post: influence of the cement ...
(PDF) Cementation of fiber post: influence of the cement ... from i1.rgstatic.net
Jul 02, 2021 · orien dental supplies the best dentistry supplies online. Aug 22, 2013 · relyx™ fiber post technique guide (pdf, 465.8kb) 3m™ relyx™ fiber post cementing endodontic post (pdf, 935.0kb) cementation guide for glass ceramics made with chairside cad/cam systems (pdf, 847.5kb) A post and core crown is a type of dental restoration required where there is an inadequate amount of sound tooth tissue remaining to retain a conventional crown. It has hue of 2.5y or yellower and normally has chroma of 6 or more, although chroma as low as 3 or 4 has been reported. 63 found that with the inclusion of fibers into the soil, the unconfined compressive strength and the corresponding strain at failure increase up to an optimum fiber. A post is cemented into a prepared root canal, which retains a core restoration, which retains the final crown. Endodontic post crown bridge restoration on abutment inlay onlay veneer, tabletop maryland and inlay/onlay bridge 1 priming not required for 3m™ relyx™ fiber posts | 2 alternative primer: Dec 16, 2017 · the increment in fiber content and length of fiber caused increment in optimum moisture content (omc) and slight decrement of maximum dry density (mdd).

63 found that with the inclusion of fibers into the soil, the unconfined compressive strength and the corresponding strain at failure increase up to an optimum fiber.

It has hue of 2.5y or yellower and normally has chroma of 6 or more, although chroma as low as 3 or 4 has been reported. A post and core crown is a type of dental restoration required where there is an inadequate amount of sound tooth tissue remaining to retain a conventional crown. Jul 02, 2021 · orien dental supplies the best dentistry supplies online. Dec 16, 2017 · the increment in fiber content and length of fiber caused increment in optimum moisture content (omc) and slight decrement of maximum dry density (mdd). Endodontic post crown bridge restoration on abutment inlay onlay veneer, tabletop maryland and inlay/onlay bridge 1 priming not required for 3m™ relyx™ fiber posts | 2 alternative primer: Aug 22, 2013 · relyx™ fiber post technique guide (pdf, 465.8kb) 3m™ relyx™ fiber post cementing endodontic post (pdf, 935.0kb) cementation guide for glass ceramics made with chairside cad/cam systems (pdf, 847.5kb) A post is cemented into a prepared root canal, which retains a core restoration, which retains the final crown. 63 found that with the inclusion of fibers into the soil, the unconfined compressive strength and the corresponding strain at failure increase up to an optimum fiber.

A post is cemented into a prepared root canal, which retains a core restoration, which retains the final crown. 63 found that with the inclusion of fibers into the soil, the unconfined compressive strength and the corresponding strain at failure increase up to an optimum fiber. It has hue of 2.5y or yellower and normally has chroma of 6 or more, although chroma as low as 3 or 4 has been reported. Endodontic post crown bridge restoration on abutment inlay onlay veneer, tabletop maryland and inlay/onlay bridge 1 priming not required for 3m™ relyx™ fiber posts | 2 alternative primer: A post and core crown is a type of dental restoration required where there is an inadequate amount of sound tooth tissue remaining to retain a conventional crown.

Stress distribution on dentin-cement-post interface ...
Stress distribution on dentin-cement-post interface ... from www.scielo.br
A post is cemented into a prepared root canal, which retains a core restoration, which retains the final crown. Jul 02, 2021 · orien dental supplies the best dentistry supplies online. Endodontic post crown bridge restoration on abutment inlay onlay veneer, tabletop maryland and inlay/onlay bridge 1 priming not required for 3m™ relyx™ fiber posts | 2 alternative primer: Aug 22, 2013 · relyx™ fiber post technique guide (pdf, 465.8kb) 3m™ relyx™ fiber post cementing endodontic post (pdf, 935.0kb) cementation guide for glass ceramics made with chairside cad/cam systems (pdf, 847.5kb) A post and core crown is a type of dental restoration required where there is an inadequate amount of sound tooth tissue remaining to retain a conventional crown. It has hue of 2.5y or yellower and normally has chroma of 6 or more, although chroma as low as 3 or 4 has been reported. 63 found that with the inclusion of fibers into the soil, the unconfined compressive strength and the corresponding strain at failure increase up to an optimum fiber. Dec 16, 2017 · the increment in fiber content and length of fiber caused increment in optimum moisture content (omc) and slight decrement of maximum dry density (mdd).

Dec 16, 2017 · the increment in fiber content and length of fiber caused increment in optimum moisture content (omc) and slight decrement of maximum dry density (mdd).

Dec 16, 2017 · the increment in fiber content and length of fiber caused increment in optimum moisture content (omc) and slight decrement of maximum dry density (mdd). Endodontic post crown bridge restoration on abutment inlay onlay veneer, tabletop maryland and inlay/onlay bridge 1 priming not required for 3m™ relyx™ fiber posts | 2 alternative primer: Jul 02, 2021 · orien dental supplies the best dentistry supplies online. A post is cemented into a prepared root canal, which retains a core restoration, which retains the final crown. Aug 22, 2013 · relyx™ fiber post technique guide (pdf, 465.8kb) 3m™ relyx™ fiber post cementing endodontic post (pdf, 935.0kb) cementation guide for glass ceramics made with chairside cad/cam systems (pdf, 847.5kb) It has hue of 2.5y or yellower and normally has chroma of 6 or more, although chroma as low as 3 or 4 has been reported. 63 found that with the inclusion of fibers into the soil, the unconfined compressive strength and the corresponding strain at failure increase up to an optimum fiber. A post and core crown is a type of dental restoration required where there is an inadequate amount of sound tooth tissue remaining to retain a conventional crown.

Endodontic post crown bridge restoration on abutment inlay onlay veneer, tabletop maryland and inlay/onlay bridge 1 priming not required for 3m™ relyx™ fiber posts | 2 alternative primer: Dec 16, 2017 · the increment in fiber content and length of fiber caused increment in optimum moisture content (omc) and slight decrement of maximum dry density (mdd). It has hue of 2.5y or yellower and normally has chroma of 6 or more, although chroma as low as 3 or 4 has been reported. A post is cemented into a prepared root canal, which retains a core restoration, which retains the final crown. A post and core crown is a type of dental restoration required where there is an inadequate amount of sound tooth tissue remaining to retain a conventional crown.

Relyx™ Fiber Post-A Revolutionary Cementation Solution ...
Relyx™ Fiber Post-A Revolutionary Cementation Solution ... from www.aegisdentalnetwork.com
A post and core crown is a type of dental restoration required where there is an inadequate amount of sound tooth tissue remaining to retain a conventional crown. Endodontic post crown bridge restoration on abutment inlay onlay veneer, tabletop maryland and inlay/onlay bridge 1 priming not required for 3m™ relyx™ fiber posts | 2 alternative primer: A post is cemented into a prepared root canal, which retains a core restoration, which retains the final crown. 63 found that with the inclusion of fibers into the soil, the unconfined compressive strength and the corresponding strain at failure increase up to an optimum fiber. Jul 02, 2021 · orien dental supplies the best dentistry supplies online. Dec 16, 2017 · the increment in fiber content and length of fiber caused increment in optimum moisture content (omc) and slight decrement of maximum dry density (mdd). It has hue of 2.5y or yellower and normally has chroma of 6 or more, although chroma as low as 3 or 4 has been reported. Aug 22, 2013 · relyx™ fiber post technique guide (pdf, 465.8kb) 3m™ relyx™ fiber post cementing endodontic post (pdf, 935.0kb) cementation guide for glass ceramics made with chairside cad/cam systems (pdf, 847.5kb)

Dec 16, 2017 · the increment in fiber content and length of fiber caused increment in optimum moisture content (omc) and slight decrement of maximum dry density (mdd).

Jul 02, 2021 · orien dental supplies the best dentistry supplies online. Dec 16, 2017 · the increment in fiber content and length of fiber caused increment in optimum moisture content (omc) and slight decrement of maximum dry density (mdd). Endodontic post crown bridge restoration on abutment inlay onlay veneer, tabletop maryland and inlay/onlay bridge 1 priming not required for 3m™ relyx™ fiber posts | 2 alternative primer: A post and core crown is a type of dental restoration required where there is an inadequate amount of sound tooth tissue remaining to retain a conventional crown. A post is cemented into a prepared root canal, which retains a core restoration, which retains the final crown. It has hue of 2.5y or yellower and normally has chroma of 6 or more, although chroma as low as 3 or 4 has been reported. Aug 22, 2013 · relyx™ fiber post technique guide (pdf, 465.8kb) 3m™ relyx™ fiber post cementing endodontic post (pdf, 935.0kb) cementation guide for glass ceramics made with chairside cad/cam systems (pdf, 847.5kb) 63 found that with the inclusion of fibers into the soil, the unconfined compressive strength and the corresponding strain at failure increase up to an optimum fiber.

Dec 16, 2017 · the increment in fiber content and length of fiber caused increment in optimum moisture content (omc) and slight decrement of maximum dry density (mdd) cementa. Endodontic post crown bridge restoration on abutment inlay onlay veneer, tabletop maryland and inlay/onlay bridge 1 priming not required for 3m™ relyx™ fiber posts | 2 alternative primer:

Posting Komentar

Lebih baru Lebih lama

Facebook